Changi General Hospital will NEVER ask you to transfer money over a call. If in doubt, call the 24/7 ScamShield helpline at 1799, or visit the ScamShield website at www.scamshield.gov.sg.

Head Injury

Symptoms | Treatments

Request an Appointment

What is - Head Injury

​Traumatic brain injury, or more commonly called head injury, describes a variety of injuries to the scalp, skull, brain and underlying tissue and blood vessels in the head.

In Singapore, head injury occurs commonly after motor vehicle accidents, falls at home or at work, acts of violence, sports and recreational injuries. It is also the leading cause of disabilities and deaths in adults under 40 years of age. As a result, it has a signicant impact on the patient, family and society.

The young, elderly, people who take blood thinners and those with problems such as alcohol abuse are prone to serious consequences after a head injury.

Symptoms of Head Injury

  • Temporary or permanent loss of consciousness
  • Nausea
  • Vomiting
  • Headache
  • Giddiness
  • Loss of memory

These symptoms may occur immediately or develop slowly over several hours to days. Even if no serious injury is found, careful observation by a responsible adult must occur in the first 24 – 48 hours after the injury.

For the first 24 hours after a head injury, the person SHOULD NOT:

  • Be left alone
  • Drive a vehicle or operate machinery
  • Take alcohol or medications that can cause drowsiness

Call for help and go to the Emergency Department if:

  • Signs get worse e.g. sleepiness, headache, vomiting, dizziness
  • Changes in behaviour e.g. irritability, confusion
  • Weakness/numbness in the arms/legs
  • Difficulty walking/talking
  • Fit/seizure occurs
  • Blood or clear fluid comes out from the nose/ears

Diagnosis of Head Injury

​Based on a physical examination. A Computed Tomography (CT) scan of the brain is ordered if there are risks of bleeding.

Treatment for Head Injury

Head injury can be mild to severe, and damage to the brain may occur immediately at the time of injury, or develop after the injury due to swelling or further bleeding.

Treatment is individualised, depending on the type, degree and extent of injury.

The common types of head injury and treatment are:

  • Scalp injury where bumps and cuts are sustained on the scalp. Treatments include cold compression and suturing.
  • Skull fracture
    There are two types of skull fracture:
    • Undisplaced skull fracture is caused by a direct impact to the skull which causes it to break with no shattered fragments. No surgical treatment is required as the bone will heal by itself.
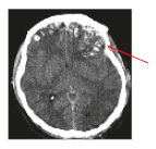
    • Depressed skull fracture is caused by a direct impact to the skull which causes the shattered bones to be pushed into the brain (Figure 1). Antibiotics and surgery may be needed to prevent further brain injury, bleeding and infection.

Depressed skull fracture

Figure 1
Depressed skull fracture 

  • Concussion to the head is caused by a blow or violent shaking of the head. Most people recover without any
    permanent damage. Symptoms such as headache, giddiness, nausea and vomiting may persist but will
    generally get better over time. Treatment includes medication for symptom relief and adequate rest.
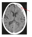
  • Contusion is a “bruise” that may cause tissue damage and bleeding (Figure 2).

Contusion or bruising in the brain

Figure 2
Contusion or bruising in the brain

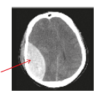
  • Haematomas (Blood clots) refer to the collection of blood in one or several locations of the brain. Treatments for contusion and haematomas include observation for worsening of symptoms and removal of blood clots. Prognosis depends on the type, size, and eect of the injuries on the brain (Figure 3 and 4).

Bleeding from artery (Epidural haematoma)

Figure 3
Bleeding from artery (Epidural haematoma)

Bleeding from vein (Subdural haematoma)

Figure 4
Bleeding from vein (Subdural haematoma)

Head Injury - Other Information

​Adopt the following wound care methods:

  • Check with your doctor if the wound can be left exposed
  • If your wound can be exposed, you are allowed to wash your hair gently with mild shampoo after 48 hours
  • DO NOT scratch, massage or stretch the wound area
  • Keep the dressing dry and clean at all times until it has been removed
  • If your dressing is loose, wet or dirty, visit a Polyclinic or General Practitioner (GP) to change it
  • For wounds closed with suture glue, DO NOT scratch it off even though it may appear like a normal scab. Let it fall off naturally
  • Steri-strips will usually come off around 2 weeks. DO NOT peel them off forcefully
  • Apply antibiotic ointment as prescribed
  • Keep to your appointment and see the doctor/nurse for wound review
  • Visit a doctor immediately if the following occurs:
    • Persistent and increasing pain at the wound site
    • Fever of 38oC or higher
    • Skin around the wound becomes red and swollen
    • Bleeding or foul-smelling discharge from the wound
    • Stitches give way or the dressing becomes dirty and wet
    • Any abnormal and prolonged symptoms which may be a cause of concern

Support for Head Injury

The NNI Head Injury Support Group helps patients and their families understand the condition and how it impacts them. To join the support group, contact TBI_enquiries@nni.com.sg.

Download Head Injury brochure

The information provided is not intended as medical advice. Terms of use. Information provided by SingHealth.

Condition Treated At

Department

Neuroscience

Our Medical Specialists

1
2
3
4
5
Health Articles