
Kidney stones occur when certain salts and minerals are present in excessive concentrations in the urine, and these eventually precipitate into small crystals that accumulate into stones. There is no single definite cause for the formation of stones, but is more likely due to several contributing factors that increase the risk of stone formation.
Risk factors include:

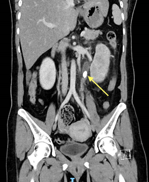
Once diagnosed, the size and location of the stone are important in guiding the options for treatment.
Certain medications may help prevent calcium and uric acid stones by controlling the amount of acid or alkali in the urine which are key factors in crystal formation. The medicine allopurinol may also be useful in some cases of hyperuricosuria where the chemical uric acid is secreted in large amounts in the urine.
There are three ways to treat kidney stones using surgery. This includes :
Extracorporeal shock wave lithotripsy (ESWL): ESWL uses sound waves delivered by an external device that resembles an X-ray machine that break stones into smaller pieces that can be passed out in your urine. ESWL may cause blood in urine, pain or bruising of your back or abdomen, bleeding around the kidney. Sometimes you may require more than one session to completely fragment the stones. Very rarely, the small fragments may be stuck in the ureter and cause obstruction of urine flow, which will require surgical management.
Complications may occur with ESWL. Bruising and minor discomfort in the back or abdomen from the shock waves can occur. To reduce the risk of complications, patients are normally told to avoid aspirin and other medicines that affect blood clotting for several weeks before treatment. Sometimes, the shattered stone particles cause a minor blockage of the urinary tract which requires the placement of a stent into the ureter to help the fragments pass. If the kidney stone is not completely shattered with one treatment, additional treatments may be needed.

Percutaneous nephrolithotomy (PCNL): This procedure involves a small incision over your back and inserting a telescope and instruments into the kidney to break the stones into smaller pieces. This procedure requires general anaesthesia. Potential complications of PCNL include bleeding, urinary tract infection, injury to adjacent organs and retained stones.
Ureteroscopic stone removal: A small telescope can be passed through your urethra and bladder to your ureter. Tools can be used to break stones into pieces that will be removed with a small basket or pass out in your urine. You may require general anaesthesia during this procedure. Your doctor may then place a stent (small plastic tube) in the ureter to prevent swelling and obstruction of the ureter and to promote healing. You may require more than one procedure to completely remove larger stones. If your ureter is too tight to pass the ureteroscope or instruments through, your doctor may choose to insert a stent in your ureter to allow muscles in your ureter to relax and you will come back another day (~1-2 weeks) to complete the procedure.
The information provided is not intended as medical advice. Terms of use. Information provided by SingHealth.
Department
Renal Medicine
Department
Urology
Department
Urology
Department
Urology
Get to know our doctors at SingHealth Hospitals in Singapore.
Get to know our doctors at SingHealth Hospitals in Singapore. here.